
Onderzoek geeft aan dat malocclusies in het melkgebit aanhouden en vaak ernstiger worden naarmate het gebit zich verder ontwikkelt. De LM-Activator™ is een voorgefabriceerd apparaat voor de ondersteuning van een gezonde groei en ontwikkeling van gelaat en kaak. De ideale tijd voor de behandeling met de LM-Activator™ is in de vroege gemengde dentitie, als de eerste tanden worden gewisseld. De LM-Activator™ biedt geleidelijke geleiding aan tanden en kaken als dat nodig is.
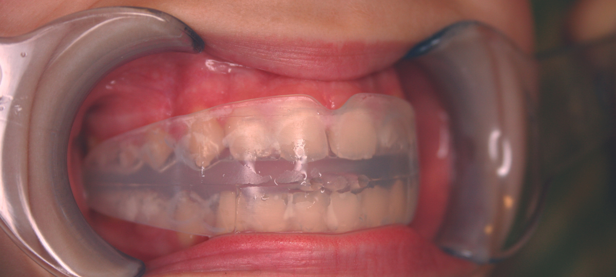
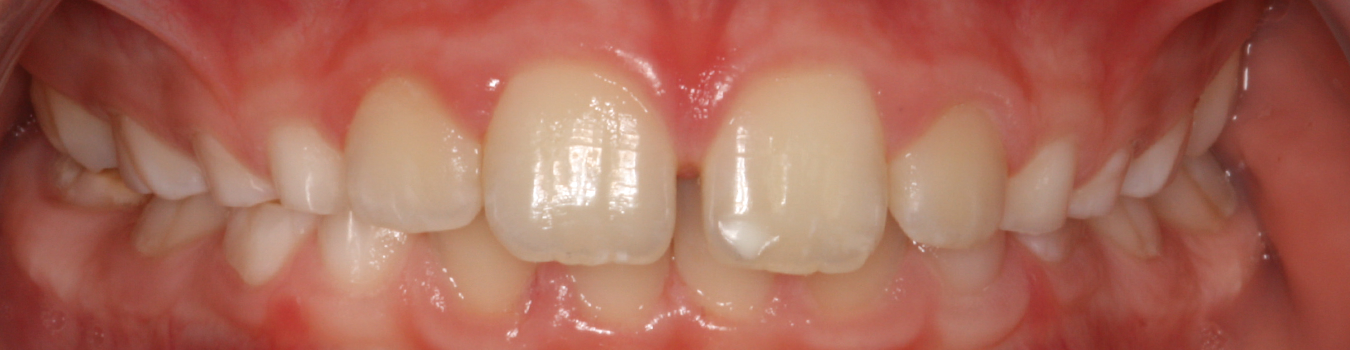
Voor
Na 1 jaar
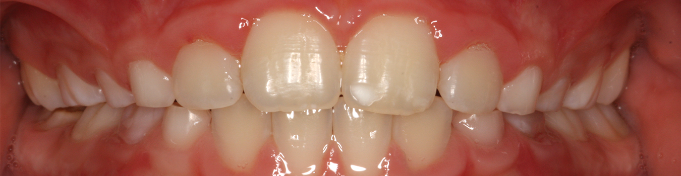
Voor
Na 15 dagen
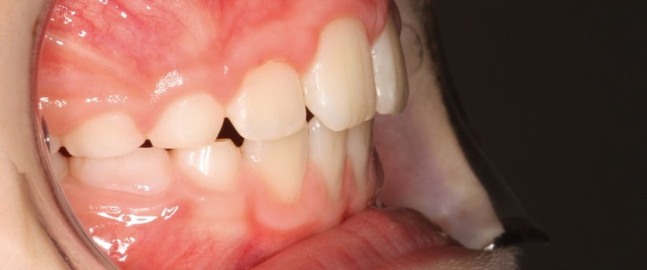
Voor
Na 1 jaar
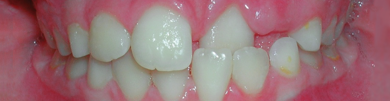
Voor
Na 10 maanden
Met de LM-Activator™ kunnen uitlijning, levelling en anteroposterieure correctie tegelijkertijd worden uitgevoerd zonder afzonderlijke fasen. Een groot assortiment modellen maakt het mogelijk om het juiste apparaat voor de patiënt te kiezen. De behandelingscomplexiteit voor zowel de behandelaar als de patiënt kan worden verminderd.
De vier basis modelkenmerken van de LM-Activator™ zijn: LAAG en HOOG, en KORT en LANG. De apparaten zijn combinaties van deze functies. Alle modellen zijn ook verkrijgbaar voor twee boogbreedtes: SMAL of BREED. Er is ook een VERSTERKT model verkrijgbaar met een hard inzetstuk in het incisale gebied.
