le menu

Filtres

  • Résultats trouvés dans

Digora Optime

Inutile d'appuyer sur un bouton lors du processus d'imagerie, contentez-vous d'insérer les plaques, DIGORA Optime se charge du reste. DIGORA Optime fonctionne sans risque d'erreur ;

le système vous guide vers un réglage d'exposition adéquat et rejette toute plaque d'imagerie mal insérée. Immédiatement après utilisation, la plaque peut servir pour une nouvelle opération.
Digora Optime Digora Optime Digora Optime

Flux de travail familier, semblable à celui d’un film

Les plaques d'imagerie fines et souples fonctionnent sans fil ; vous pouvez les disposer aussi facilement et précisément qu'un film. Vous obtenez automatiquement et en quelques secondes les images digitales, sans manipulation supplémentaire.

Digora Optime

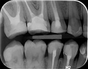
Haute qualité d'image

Le DIGORA Optime est conçu de sorte qu'il n'y a qu'un seul faisceau de lumière très court entre la plaque phosphore et photomultiplicateur de sorte qu’il a un minimum d’erreurs dans le signal.

La large gamme dynamique de la DIGORA Optime offre une qualité constante, sans que les valeurs de la machine à rayons X pour chaque patient ou l'enregistrement doivent être ajustés.
Téléchargements :
brochure FR